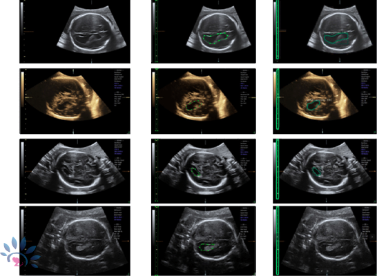
Fetal Neurosonogram

AKSHAYA FERTILITY CENTRE and AKSHAYA WOMEN’S CARE stand for women, giving everlasting happiness to them with the evergreen care and smile

Fetal Reduction

Central nervous system (CNS) malformations are some of the most common of all congenital abnormalities. Neural tube defects are the most frequent CNS malformations and amount to about 1–2 cases per 1000 births. The incidence of intracranial abnormalities with an intact neural tube is uncertain as probably most of these escape detection at birth and only become manifest in later life. Long-term follow-up studies suggest however that the incidence may be as high as one in 100 births.

Find us easily and plan your visit with confidence. View our location for clear directions and a seamless dining or consultation experience.

get in touch today!

Contact Us
For inquiries, please contact us at:
akshayafertilityslm@gmail.com
Work Time Information
Working Hours Details:
Open 24 Hours
FetalNeurosonogramDetails

Ultrasound has been used for nearly 30 years as the main modality to help diagnose fetal CNS anomalies. Detailed evaluation of the fetal CNS (fetal neurosonogram) is also possible but requires specific expertise and sophisticated ultrasound machines. This type of examination, at times, complemented by three-dimensional ultrasound, is indicated in pregnancies at increased risk of CNS anomalies.

In recent years fetal magnetic resonance imaging (MRI) has emerged as a promising new technique that may add important information in selected cases and mainly after 20–22 weeks, although its advantage over ultrasound remains debated.

Cart (0 items)